025-87183621
服务项目 服务项目

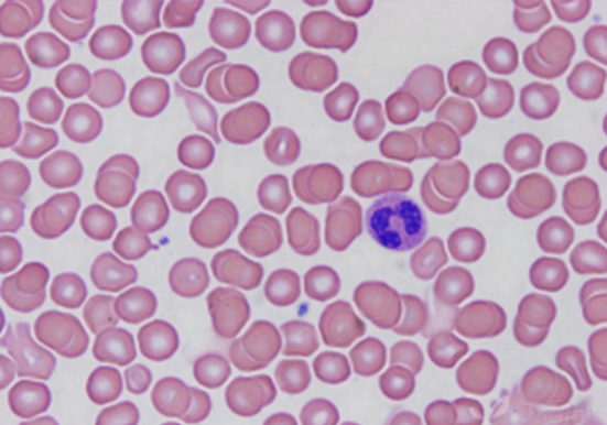
瑞士吉姆萨染色

以下是关于瑞士吉姆萨染色的详细介绍:基本原理吉姆萨染液由天青、伊红等成分组成。其染色原理基于细胞内不同物质的酸碱性质差异。细胞内的嗜酸性物质,如碱性蛋白质,与酸性染料伊红结合,染成粉红色;嗜碱性物质,如细胞核蛋白和淋巴细胞胞浆,与碱性染料美蓝或天青结合,显紫蓝色;中性颗粒呈等电状态,与伊红和美蓝均可


全国咨询电话:025-87183621

服务详情


以下是关于瑞士吉姆萨染色的详细介绍:


基本原理

吉姆萨染液由天青、伊红等成分组成。其染色原理基于细胞内不同物质的酸碱性质差异。细胞内的嗜酸性物质,如碱性蛋白质,与酸性染料伊红结合,染成粉红色;嗜碱性物质,如细胞核蛋白和淋巴细胞胞浆,与碱性染料美蓝或天青结合,显紫蓝色;中性颗粒呈等电状态,与伊红和美蓝均可结合,染淡紫色。


染色步骤

标本固定:在涂片上加甲醇数滴,约 30 秒后将甲醇振去,空气干燥,或将标本放在甲醇容器中,浸泡固定 1-5 分钟。

染色:将新配的吉姆萨应用液 2-3 毫升加在标本上,静置 15-30 分钟。

冲洗:使标本保持原来的水平位置,从一侧缓缓注入自来水,使染料从标本的另一侧冲去,以避免染料沉淀。

干燥与镜检:把标本斜置在滤纸上,待干后镜检




在线留言

Online message

姓名

电话

留言内容

联系我们

Contact us
南京东极生物科技有限公司
扫一扫关注
  • 地址:南京市六合区新港湾路166号协合智谷产业园16-3栋
  • 电话:139-1599-6230   025-87183621
  • 邮箱:sales@dj-cro.com
  • 网址:http://baoshan.dj-cro.com
Copyright © 2023 南京东极生物科技有限公司版权所有 All Rights Reserved.
  • 公司联系方式
    QQ
  • 公司微博
    微博
  • 网站首页
    首页
  • 公司联系电话
    电话
  • 返回
    返回顶部